Технологія i‑scan


Поліпшені можливості виявлення та класифікації анатомічних структур

Технологія i‑scan заснована на обробці відеозображення в реальному часі та може бути увімкнена простим натисканням кнопки на ендоскопі. Режим i‑scan SE покращує зображення завдяки підкресленню структури поверхні тканин, що особливо корисно для виявлення пласких новоутворень. Режим i‑scan TE направлений на посилення відображення судинної та тканинної архітектури.

Переваги HD+ та

i‑scan з першого погляду

Ендоскопічне зображення високої роздільчої здатності HD+ в поєднанні з технологією i‑scan відкривають нові видимі деталі поверхні слизової, що суттєво покращує якість ендоскопічної діагностики. Вбудована функція ZOOM надає змогу більш точно дослідити підозрілі поверхневі структури та виявити найменші пошкодження. Налаштування функції i‑scan, яке може корегуватися відповідно до поточних та майбутніх потреб, сприяє кращому виявленню і максимально повному опису ознак новоутворень.

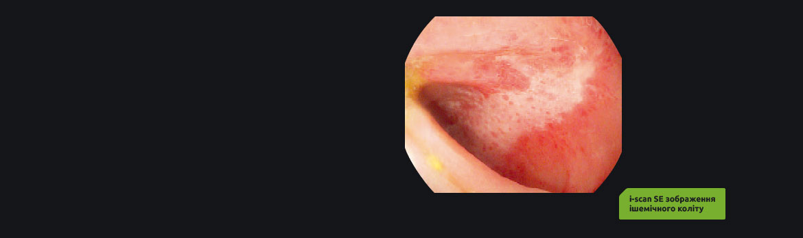
i‑scan SE – поліпшення якості зображення структури слизової

• SE зберігає природну колірну гамму

• Виділення підозрілих ділянок тканини при одному натисканні на кнопку

• Покращення якості зображення структури слизової для швидкого виявлення пласких новоутворень

i‑scan ТЕ - посилення колірного та тонового контрасту

• Технологія отримання прицільного зображення для подальшої допомоги в постановці діагнозу

• Спрощення опису уражених ділянок за рахунок поліпшення визначення структури слизової

• Віртуальна хромоендоскопія для кращої постановки діагнозу

Клінічна практика

 

Pentax i‑scan в діагностиці стравоходу Барретта

 

Історія пацієнта

67‑ми річний чоловік із симптомами рефлюксу був направлений на гастроскопію після безуспішного лікування інгібіторами протонної помпи. При ендоскопії йому був поставлений діагноз стравоходу Барретта ступеня С3М5, за празькою класифікацією.

Результати ендоскопії

При ендоскопії високої чіткості HD+ в білому світлі була виявлена ​​ділянка слизової, яка виглядала на перший погляд злегка невиразно. Із застосуванням i‑scan SE ця ділянка стала більш виразною. Нормальна залозиста слизова оболонка оточувала центральну частину, де структура слизової неоднорідна і деформована. Використовуючи i‑scan TE можна більш чітко побачити зміни судинної сітки з обірваними судинами, характерними для дисплазії.

Діагноз і лікування

Біопсія з цієї ділянки виявила дисплазію високого ступеня. Пацієнт був направлений на радіочастотну абляцію HALO. За 8 тижнів після першої кругової абляції була проведена повторна фокусна абляція деяких залишкових ділянок катетером HALO 90. При подальшому 12‑ти місячному спостереженні було доведено повне зникнення дисплазії та інтестинальної метаплазії, а також поява сквамозного епітелію на місці колишнього сегмента Барретта.

Висновок

У цьому випадку використання HD+ та i‑scan дозволило відразу під час обстеження здійснити діагностику стравоходу Баррета і прицільну біопсію. Точність діагнозу сприяла правильному вибору лікування.

Pentax i‑scan у контрольній ендоскопії в пацієнта з родинним аденоматозним поліпозом

Історія пацієнта

42‑х річній жінці з сімейним аденоматозним поліпозом (САП) була призначена езофагогастродуоденоскопія. Перша колоноскопія була проведена у неї 5 років тому через те, що і її батько, і дядько померли від колоректального раку у віці 45 і 50 років відповідно. Перша колоноскопія показала наявність більше 100 невеликих поліпів у товстому кишечнику, що являють собою тубулярні аденоми. ДНК аналіз підтвердив мутацію APC гена і діагноз САП. У подальшому була проведена профілактична повна колектомія для запобігання розвитку раку товстої кишки.

Результати ендоскопії

При ендоскопії високої чіткості HD+ в білому світлі були виявлені кілька невеликих пласких новоутворень з вибіленими краями. і‑scan SE дозволяє краще побачити межі дефектів і підкреслює архітектуру слизової. Дуже добре видно пласке ураження тканини, її неоднорідну структуру і можливе поглиблення в центрі новоутворення. і‑scan TE, використаний далі, допомагає визначити та підтвердити, що знайдені зміни є розвиненими аденомами. Крім того, режим ТЕ допомагає побачити поглиблення в центрі дефектів, що свідчать про інфільтративну поведінку тканини.

Діагноз і лікування

Новоутворення було видалено ендоскопічно, і при подальшому гістологічному дослідженні підтвердився діагноз аденоми з дисплазією високого ступеня.

Висновок

Що стосується прицільної діагностики та терапії дуоденальних аденом у пацієнтів з синдромом САП, цей випадок демонструє важливість інформації, отриманої при ендоскопічному дослідженні із застосуванням ендоскопії високої чіткості HD+ в поєднанні з i‑scan SE і TE.

Клінічне відео